Inloggen
Gebruikersnaam of e-mailadres
Wachtwoord
Vergeten?
Registreren
Nieuws
Code of conduct
Opleidingen
Evenementen
Leden
Leden zoeken
Lid worden
Bestelformulier
Conference 2025
Contact
Nieuws
Code of conduct
Opleidingen
Evenementen
Leden
Leden zoeken
Lid worden
Bestelformulier
Conference 2025
Contact
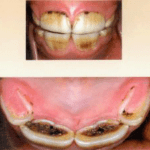
Leeftijdsbepaling bij het paard
Bekijk hier onze E-Presentatie over de leeftijdsbepaling bij het paard.
error:
De inhoud is beveiligd !!